U nang màng nhện là gì? Nguyên nhân, triệu chứng và cách điều trị
U nang màng nhện thường có nguồn gốc bẩm sinh, đa phần là lành tính. Tuy nhiên trong một số trường hợp, nang màng nhện lại phát triển với kích thước lớn, có thể gây hại cho sức khỏe người bệnh. Vậy chúng ta cùng tìm hiểu bài viết dưới đây nhé.
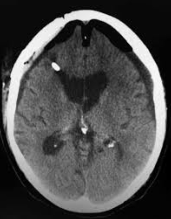
U nang màng nhện phát triển bên trong màng nhện, đây là một trong ba màng não có vai trò bảo vệ não, dưới dạng một túi chứa đầy dịch não tủy và tồn tại tự nhiên trong não. Hầu hết các nang màng nhện đều nhỏ, không có triệu chứng và nằm ở thái dương.
Nang màng nhện là một cấu trúc khép kín chứa dịch não tủy có thể nằm ở các vùng khác nhau của não hoặc tủy sống. Thông thường, nó không gây ra bất kỳ triệu chứng nào, nhưng đôi khi có thể dẫn đến các biến chứng nghiêm trọng. Việc điều trị phụ thuộc chặt chẽ vào kích thước, vị trí và các triệu chứng mà nó gây ra.

Xem thêm: https://www.pharmacity.vn/benh/u-nang-mang-nhen.html
Comments
Post a Comment